
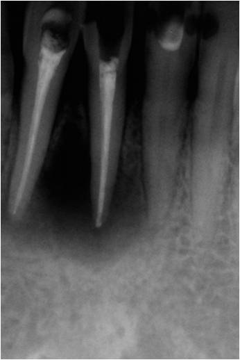
L'endodonzia si occupa della cura dei canali radicolari, cioè quando una carie ha raggiunto la polpa del dente
e l'ha infettato con il relativo mal di denti o gonfiore che ne consegue, l'odontoiatra ha il compito di
devitalizzare il dente, ossia sostituire alla polpa infetta il materiale da otturazione canalare.
Per far ciò è necessario sagomare l'interno del canale del dente e questo viene fatto con gli strumenti Ni-Ti
ciò al nichel-titanio che, essendo flessibili, garantiscono l'accesso anche alle zone più difficili.
Il laser è uno strumento molto utile nella disinfezione dei canali particolarmente infetti di quei denti che
presentano ascessi ricorrenti o che sono refrattari alle terapie tradizionali.